Kos Cabut Gigi Bongsu – Pernahkah anda mengalami rasa ketidakselesaan apabila gigi bongsu anda mula tumbuh? Jika pernah, jangan risau, anda bukan satu-satunya yang menghadapinya.
Dalam pengenalan blog kos cabut gigi bongsu ini, kami akan memberikan penerangan lengkap mengenai prosedur “Kos Cabut Gigi Bongsu” yang mungkin akan memerlukan pertimbangan anda.
Mulai dari penerangan mengenai alasan mengapa gigi bongsu boleh menjadi masalah sehingga langkah-langkah dalam proses penarikan, kami akan memberikan anda maklumat yang penting untuk membantu anda membuat keputusan yang tepat berkenaan kesihatan gigi anda.
Oleh itu, teruskan membaca untuk mendapatkan pemahaman yang lebih mendalam mengenai kos, faedah, dan keperluan cabutan gigi bongsu.
Mengapa Perlu Cabut Gigi Bongsu?

Jika gigi bongsu anda telah sepenuhnya tumbuh dalam kedudukan yang betul, mungkin anda tidak akan perlu menjalani prosedur pencabutan.
Walaubagaimanapun, gigi bongsu sering kali terjebak di bawah lapisan tulang dan tisu gusi.
Penyekatan ini boleh mengakibatkan gigi bongsu tidak dapat menembusi garis gusi dengan baik, dan ini meningkatkan risiko penyakit seperti sista atau tumor.
Terdapat juga situasi di mana gigi bongsu mungkin tumbuh separuh jalan dan membolehkan bakteria berkembang biak di sekitar gigi dan di bawah gusi.
Beberapa gigi bongsu boleh menjadi sumber ketidakselesaan dan merosakkan gigi-gigi tetangga jika tidak ada ruang yang mencukupi untuk pertumbuhannya.
Gigi bongsu yang tumbuh dalam kedudukan yang tidak betul juga boleh memerangkap sisa-sisa makanan atau sulit untuk dibersihkan dengan benang gigi, yang boleh membantu bakteria penyebab karies berkembang.
Sekiranya diperlukan pencabutan gigi bongsu anda, adalah bijak untuk melakukannya semasa remaja.
Pada usia ini, akar gigi masih belum sepenuhnya berkembang, yang meningkatkan peluang untuk menjalani prosedur yang berjaya dan proses penyembuhan yang lebih cepat.
Kebaikan Cabut Gigi
Pencabutan gigi membawa pelbagai faedah yang signifikan. Yang paling utama ialah ia membantu mengurangkan jumlah bakteria berbahaya yang boleh mendatangkan ancaman kepada kesihatan gusi dan gigi anda.
Jika gigi yang terjejas tidak dicabut dan tidak dipulihkan, ia boleh mengakibatkan masalah kesihatan yang lebih serius dan merosakkan kecantikan senyuman anda.
Pencabutan gigi yang terimpak adalah penting jika anda ingin mencapai kesihatan mulut yang optimal.
Selain itu, prosedur pencabutan gigi juga dapat memberikan kelegaan segera jika anda mengalami sakit gigi yang teruk atau gigi yang terkena jangkitan yang serius.
Bila Anda Patut Cabut Gigi?
Doktor gigi sentiasa berusaha untuk melestarikan gigi asli selama yang mungkin.
Namun, terdapat situasi tertentu di mana rawatan pemulihan gigi seperti tampalan gigi, rawatan akar gigi, atau mahkota gigi tidak lagi merupakan pilihan yang sesuai, terutamanya untuk gigi yang telah mengalami kerosakan besar.
Beberapa sebab untuk melakukan pencabutan gigi termasuk:
- Gigi yang reput atau terlalu rosak.
- Gigi yang patah atau mengalami kerosakan yang teruk.
- Gigi yang terjebak atau terimpak, tidak dapat tumbuh dalam kedudukan yang betul.
- Pencabutan gigi mungkin diperlukan sebelum rawatan brek gigi (braces) bagi gigi yang bertindak lapisan (dalam kes tertentu).
- Masalah gusi yang serius dan kehilangan struktur tulang yang menyokong gigi.
- Gigi yang mengalami kerosakan yang terlalu besar untuk diperbaiki atau diselamatkan.
Pencabutan gigi merupakan keputusan terakhir yang diambil oleh doktor gigi, dan ia dilakukan hanya jika tiada pilihan lain yang sesuai untuk memulihkan kesihatan gigi anda.
Siapa yang patut cabut gigi anda?
Doktor gigi dan beberapa pakar pergigian seperti pakar periodontik dan pakar bedah mulut, memiliki kemahiran untuk melakukan pencabutan gigi.
Walaupun kebanyakan doktor gigi am dapat menjalankan prosedur pencabutan gigi, kes-kes yang lebih rumit sering dirujuk kepada pakar bedah mulut atau periodontis.
Jenis – Jenis Cabutan Gigi
Terdapat tiga jenis pencabutan gigi: pencabutan mudah, pencabutan kompleks, dan pencabutan melalui pembedahan.
- Pencabutan gigi mudah biasanya dilakukan pada gigi yang telah muncul sepenuhnya dalam rongga mulut dan boleh dikeluarkan dengan menggunakan perkakas seperti “elevator” pergigian.
- Pencabutan gigi kompleks dilakukan apabila gigi tersebut tidak dapat dilihat dalam rongga mulut dan memerlukan proses sayatan khusus untuk mengeluarkannya.
- Pencabutan gigi melalui pembedahan pula dilakukan pada gigi impaksi, iaitu gigi yang belum sepenuhnya tumbuh melalui garis gusi. Pada situasi ini, gigi yang terjejas mungkin memerlukan pembedahan kecil untuk mengeluarkannya.
Prosedur Cabut Gigi

1. Sebelum Cabut Gigi
Sebelum prosedur pencabutan gigi dimulakan, doktor gigi anda akan menjalankan pemeriksaan terhadap gusi di sekeliling gigi yang akan dicabut.
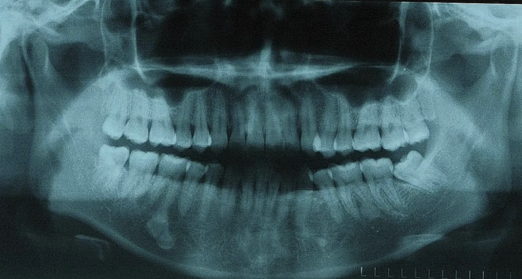
Dengan menggunakan sinar-X, doktor gigi juga akan menilai keadaan tulang dan tahap kerosakan yang terlibat.
Penting untuk memberitahu doktor gigi anda mengenai sebarang ubat-ubatan, vitamin, atau preskripsi yang anda ambil, serta sebarang alahan ubat yang mungkin dialami.
Setelah semua maklumat yang diperlukan dikumpulkan, doktor gigi akan berbincang dengan anda mengenai pilihan rawatan dan prosedur bius yang sesuai.
Penggunaan bius adalah pilihan yang baik, terutamanya bagi mereka yang mengalami kebimbangan pergigian atau ingin merasa lebih selesa semasa prosedur pencabutan gigi.
2. Semasa Cabut Gigi
Semasa proses pencabutan gigi, langkah-langkah berikut diambil:
- Terlebih dahulu, doktor gigi akan memberikan bius topikal kepada tisu gusi yang mengelilingi gigi yang akan dicabut. Gigi anda akan dilepaskan dengan lembut dan dikeluarkan dengan berhati-hati dari soketnya menggunakan alat-alat pergigian khusus.
- Bergantung kepada keadaan gigi, doktor gigi anda mungkin perlu membuat sayatan pada gusi untuk mencapai gigi yang reput atau patah pada garis gusi. Selepas gigi dicabut, soket akan dibersihkan dan disterilkan.
- Kadangkala, doktor gigi anda mungkin akan mempertimbangkan pemindahan tulang pergigian untuk membantu mengekalkan struktur tulang rahang yang penting. Jahitan juga boleh diberikan dalam beberapa kes untuk mempercepatkan proses penyembuhan.
3. Selepas Cabut Gigi
Setelah prosedur pencabutan gigi selesai, doktor gigi anda akan menutup soket cabutan dengan sekeping kain kasa dan akan meminta anda mengigit dengan kuat.
Ini adalah langkah penting untuk menghentikan pendarahan kerana ia akan melambatkan aliran darah dan membantu dalam pembentukan darah beku.
Pembentukan darah beku adalah sebahagian biasa dari proses pemulihan yang membantu dalam penyembuhan dan mengurangkan risiko soket kering.
Anda boleh melepaskan kain kasa tersebut apabila pendarahan berhenti. Perlu diingat bahawa sedikit pendarahan mungkin berlaku dalam tempoh 24 jam setelah prosedur pencabutan gigi.
Tempoh Sembuh Cabut Gigi
Kebanyakan orang memerlukan masa yang berbeza-beza untuk pulih selepas prosedur pencabutan gigi, berkisar dari 48 hingga 72 jam, bergantung kepada tahap kompleksiti kes individu masing-masing.
Namun, adalah penting untuk diingat bahawa proses penyembuhan tulang rahang biasanya memerlukan beberapa minggu untuk mencapai pemulihan sepenuhnya.
Oleh itu, jika anda merancang untuk menggantikan gigi anda dengan implan pergigian, anda mungkin perlu menunggu beberapa bulan selepas pencabutan gigi sebelum prosedur implan boleh dijalankan dengan berjaya.
Penjagaan Selepas Cabut Gigi
Selepas pencabutan gigi anda, doktor gigi akan memberikan panduan pasca pembedahan yang lengkap.
Berikut adalah beberapa garis panduan umum untuk mempercepatkan proses pemulihan:
- Pastikan bahawa kawasan cabutan gigi sentiasa bersih. Gunakan ubat kumur antimikrobial untuk membilas kawasan tersebut dua hingga tiga kali sehari. Jangan menggosok secara langsung pada kawasan cabutan. Anda perlu menggosok dan membersihkan kawasan lain gigi dengan berhati-hati seperti yang biasa.
- Ambil semua ubat-ubatan yang telah diberikan dan diarahkan oleh doktor gigi anda. Doktor mungkin akan menasihati penggunaan antibiotik bersamaan dengan ubat penahan sakit. Pastikan anda mematuhi jadual dan dos ubat seperti yang diberikan oleh doktor gigi. Selain daripada ubat yang telah diberikan, anda juga boleh menggunakan ubat penahan sakit yang boleh didapati di farmasi seperti paracetamol atau ibuprofen jika perlu.
- Luangkan sekurang-kurangnya dua hari untuk aktiviti yang ringan sahaja. Jangan terlalu aktif kerana aktiviti fizikal yang terlalu berat boleh menyebabkan peningkatan denyutan jantung dan pendarahan yang lebih banyak selepas pembedahan. Elakkan daripada pergi ke gim atau melibatkan diri dalam aktiviti yang meletihkan dalam tempoh 48 hingga 72 jam pertama selepas pencabutan gigi. Pastikan untuk berbincang dengan doktor gigi anda untuk mengetahui apabila anda selamat untuk meneruskan aktiviti biasa.
Makanan Sesuai Selepas Cabut Gigi
Hindari makanan yang keras dan berkeraskan untuk beberapa hari pertama selepas pencabutan gigi.
Simpan makanan yang lembut seperti bubur, pasta, telur, yogurt, dan oat di dalam peti sejuk serta dapur anda untuk memudahkan akses.
Jangan menggunakan “sedotan” ketika minum minuman kerana ia boleh menyebabkan soket kering dan mengganggu proses pembentukan bekuan darah yang penting dalam pemulihan anda.
Kos Cabut Gigi Bongsu

Pakar bedah maksilofasial yang mahir biasanya akan melaksanakan prosedur pencabutan gigi bongsu.
Mereka adalah pakar gigi yang telah menjalani latihan lanjutan dan memegang sijil kelayakan untuk melakukan ubat bius umum jika diperlukan.
Pelbagai faktor boleh mempengaruhi kos prosedur ini, termasuk jenis dan tahap kesulitan himpitan gigi, sama ada penggunaan ubat bius umum diperlukan, dan lokasi tempat tinggal anda.
Menurut Kementerian Kesihatan Malaysia, berikut adalah harga purata bagi prosedur pencabutan gigi bongsu:
- RM15 bagi setiap gigi bongsu yang mudah dicabut, di mana gigi telah tumbuh sepenuhnya dengan akar yang pendek, dan prosedur ini hanya memerlukan penggunaan ubat bius setempat.
- RM50 bagi setiap gigi bongsu yang terhimpit, tetapi masih boleh dicabut dengan penggunaan ubat bius setempat. Jenis himpitan gigi juga boleh mempengaruhi harga, dengan cabutan gigi yang hanya meletus separuh jalan biasanya lebih murah berbanding dengan gigi yang terbenam sepenuhnya dalam tulang rahang.
Selain daripada kos pencabutan gigi bongsu itu sendiri, terdapat juga faktor lain yang perlu dipertimbangkan.
Ini termasuklah kos sinar-x gigi, yang juga dikenali sebagai radiograf, yang purata harganya sekitar RM10.
Anda juga mungkin perlu membayar untuk pemeriksaan awal dan kunjungan susulan, yang biasanya memerlukan bayaran purata sekitar RM5 bagi setiap janji temu, seperti yang disyorkan oleh Kementerian Kesihatan Malaysia.
Cara Membayar Pencabutan Gigi Bongsu
Anda boleh membayar kos pencabutan gigi dengan menggunakan wang anda sendiri, tetapi jika anda merasa risau tentang beban kewangan, pertimbangkan pilihan berikut:
1. Insurans Pergigian
Jika prosedur pencabutan gigi dianggap sebagai keperluan perubatan, banyak pelan insurans pergigian akan menanggung sehingga 50 peratus daripada kos prosedur tersebut.
Pastikan anda menyemak polisi insurans pergigian dan perubatan anda untuk mengetahui perkara yang dilindungi sebelum menjalani pembedahan.
2. Pakej dan Pelan Pembayaran
Banyak pakar bedah mulut menawarkan pakej istimewa yang merangkumi pencabutan keempat-empat gigi bongsu secara serentak.
Pakar bedah mulut anda juga mungkin menyediakan pelan pembayaran yang membolehkan anda membayar kos pembedahan secara ansuran, iaitu dengan memecahkan jumlah keseluruhan kos menjadi jumlah yang lebih kecil dari masa ke masa.
3. Pelan Pergigian Diskaun
Terdapat juga beberapa pelan pergigian diskon yang membolehkan anda membayar yuran tahunan tertentu dan menerima diskaun untuk prosedur pergigian yang dilakukan oleh rangkaian doktor gigi sepanjang tahun.
Sila berbincang dengan pakar gigi anda untuk mengetahui sama ada pelan diskon ini tersedia.
Jika anda merasa risau tentang kos pencabutan gigi bongsu, adalah bijak untuk berbincang dengan pakar gigi anda dan juga agensi insurans untuk mengetahui pilihan yang sesuai untuk anda.
Walaupun kosnya mungkin kelihatan tinggi pada awalnya, mencabut gigi bongsu anda sekarang dapat menghindarkan anda dari masalah yang lebih serius dan lebih mahal pada masa akan datang.
Risiko Cabut Gigi
Seperti dalam mana-mana prosedur pembedahan, pencabutan gigi juga melibatkan beberapa risiko. Risiko-risiko ini termasuk:
- Jangkitan berkaitan dengan proses pemulihan.
- Kejadian soket kering, iaitu keadaan di mana perlambatan proses penyembuhan terjadi dalam soket bekas gigi yang dicabut.
- Kerosakan kepada saraf gigi yang berdekatan dengan gigi yang dicabut.
- Tusukan pada sinus maksila, yang berlaku apabila gigi atas yang terletak berdekatan dengan sinus terjejas semasa prosedur.
- Pemulihan yang memerlukan masa yang lebih lama dan berpanjangan.
Pencabutan gigi juga boleh menyebabkan kesan sampingan seperti bengkak dan ketidakselesaan.
Doktor gigi anda akan memberikan panduan dan penjelasan mengenai cara menguruskan proses pemulihan anda dengan berkesan.
Kesimpulan
Artikel dari Kosharga.my ini membincangkan pentingnya pencabutan gigi bongsu dan bila waktu yang sesuai untuk menjalankannya.
Gigi bongsu sering terperangkap di bawah lapisan tulang dan tisu gusi, yang boleh mengakibatkan pelbagai masalah seperti sista, tumor, atau jangkitan bakteria.
Selain itu, gigi bongsu yang tumbuh tidak dalam kedudukan yang betul boleh merosakkan gigi tetangga dan sukar untuk membersihkannya.
Pencabutan gigi bongsu adalah disyorkan terutamanya semasa usia remaja, ketika akar gigi belum sepenuhnya berkembang.
Artikel kos cabut gigi bongsu ini juga menjelaskan manfaat pencabutan gigi, jenis-jenis pencabutan gigi, proses pencabutan gigi, serta penjagaan dan pemulihan selepas prosedur pencabutan gigi.
Pada artikel kos cabut gigi bongsu ini turut membincangkan kos pencabutan gigi dan pilihan pembayaran, serta risiko yang terkait dengan prosedur ini.
Dengan pemahaman yang lebih baik mengenai pencabutan gigi bongsu, pembaca dapat membuat keputusan yang bijak mengenai penjagaan gigi mereka.






